Español

Endocrona fabricada mediante CAD/CAM con la cerámica híbrida VITA ENAMIC multiColor

Dra. Oxana Naidyonova
Dentista, Karaganda, Kazajstán 


En la restauración mediante endocoronas de dientes endodonciados fuertemente destruidos se procede de manera orientada al defecto y mínimamente invasiva. A diferencia de las preparaciones para coronas completas, la conservación de sustancia reviste la máxima prioridad en las endocoronas. Sin embargo, para ello se requieren materiales CAD/CAM como la cerámica híbrida biomimética VITA ENAMIC (VITA Zahnfabrik, Bad Säckingen, Alemania), que en tales casos posibilita reconstrucciones muy delgadas con grosores de pared reducidos y cuyas propiedades materiales presentan un comportamiento similar al del diente. En el presente caso, también se escogió la cerámica híbrida porque la elevada estabilidad de los ángulos permite su procesamiento CAM preciso así como la fijación adhesiva segura conforme al protocolo acreditado para la cerámica integral.

A partir del siguiente caso clínico, la odontóloga Dra. Oxana Naidyonova muestra paso a paso su procedimiento.

 

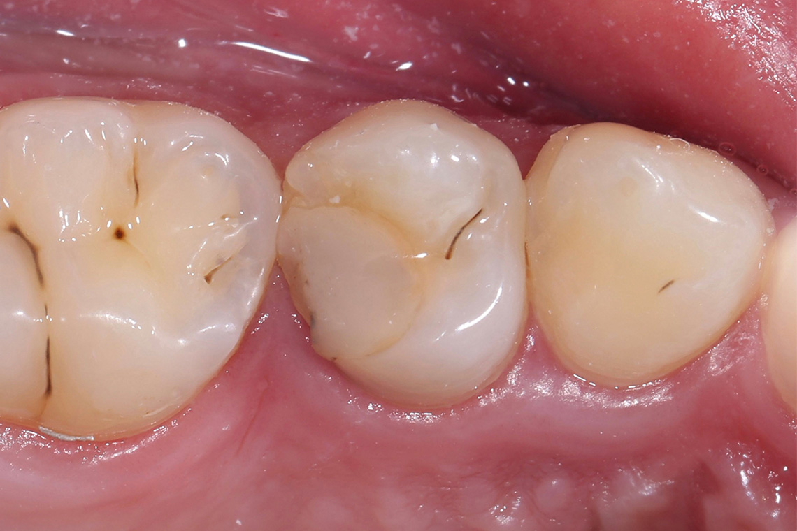
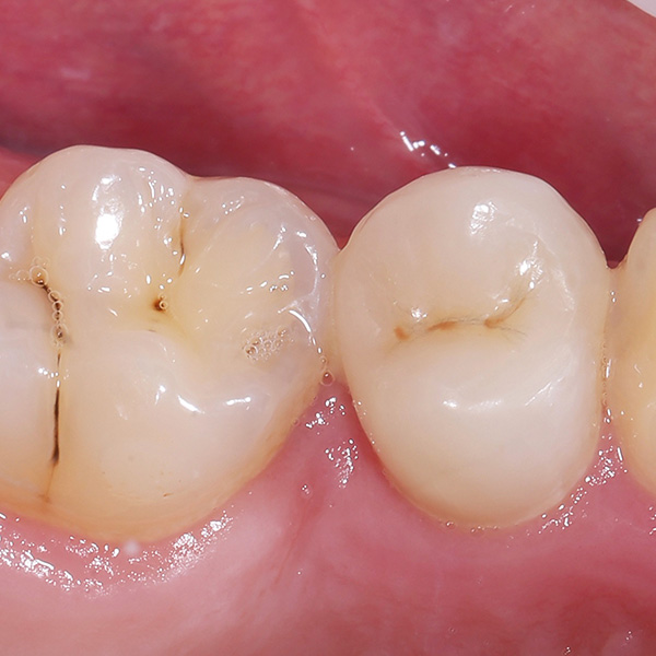
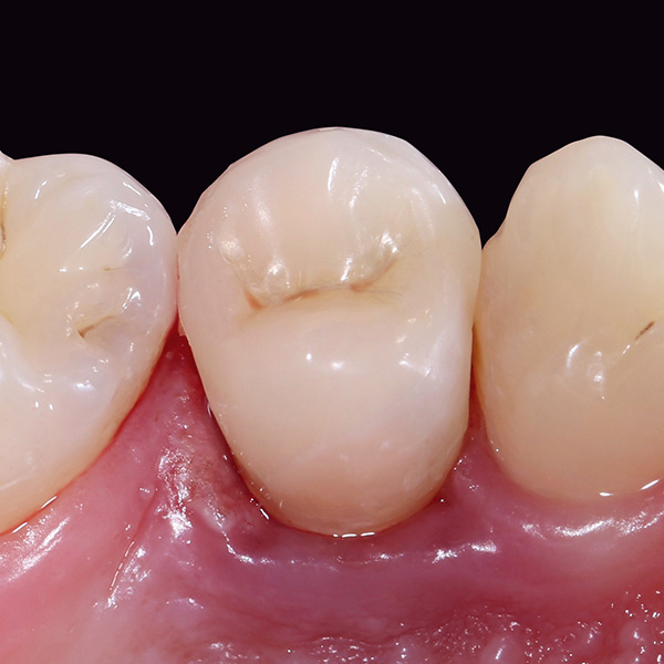
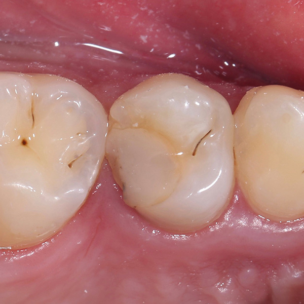
VITA ENAMIC multiColor endocrona: Situación inicial vs Resultado final

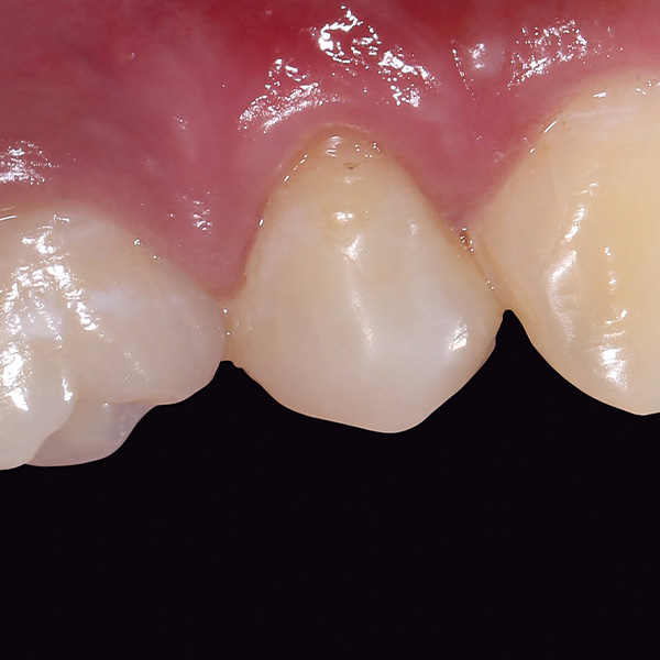
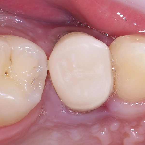
RESULTADO: La reconstrucción de VITA ENAMIC multiColor se integró de manera totalmente armoniosa. La obturación de composite insuficiente en el diente 14 (od) había provocado inflamaciones en el espacio interdental.

Hemos despertado su curiosidad? Entonces siga leyendo aquí

Casos clínicos de un vistazo

Estrategia de éxito para elevadas solicitaciones

Pulsar el botón de la estética